Lịch: Thứ 2 - Thứ 7 - 8:00 - 18:00, Chủ Nhật - 8:00 - 14:00

Asthetic Dentistry | Whitening

Whitening


Teeth can be discoloured because of excessive consumption of coloured foods (liquorice) and beverages (coffee, tea, coke, red wine), poor oral hygiene, cigarette smoking.
With aging, teeth become darker. Over time, more dentine is formed inside the tooth and intensifies in colour.
Medication ie. tetracycline, if administered during childhood, can cause dark pigmentation of teeth.
Non vital teeth can become darker over time.
Today whitening (bleaching) can be used on both vital and non vital teeth. Whitening utilizes the action of oxygen molecules. The procedures can be performed at home with special trays made by the dentist, or in the dental office (in-office technique).
The technique is safe because it does not remove any tooth enamel and results may last up to 2 years, after which a maintenance program may be implemented.
The main side effect of whitening is tooth sensitivity. Sensitivity may be treated with desensitizing toothpaste and in fact, may completely disappear within 24 hours of whitening cessation.

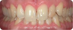
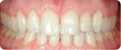
Case: Whitening of discolored teeth. Minor orthodontic treatment and placement of two porcelain laminate veneers on damaged lower central incisors, to complete aesthetic treatment.

Before

 

After