Lịch: Thứ 2 - Thứ 7 - 8:00 - 18:00, Chủ Nhật - 8:00 - 14:00
Lịch: Thứ 2 - Thứ 7 - 8:00 - 18:00, Chủ Nhật - 8:00 - 14:00
Asthetic Dentistry | Porcelain
Porcelain
Porcelain laminate veneers are thin layers of porcelain applied to the external face of the tooth. They are used to change colour, shape and dimension of teeth.
They are very conservative, because they require a minimal removal of tooth structure (less than 1 mm). They are utilized to close spaces between teeth, to lengthen, reshape and repair fractured teeth.
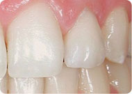
Case: The patient shows a small lateral incisor (microdontia). A porcelain laminate veneer was placed on the small lateral incisor to restore proper dimension and shape. The result is completely natural.